La clase II-1 puede ser resultado de una mandíbula retrognata, de un maxilar prognato o de una combinación de ambas.
Actualmente existen alternativas de tratamiento, como las extracciones de primeros premolares que en ocasiones se pueden acompañar de una extracción de incisivo central inferior o de segundos premolares inferiores, e incluso la extracción de los segundos premolares superiores, según sea el caso.
ORTODONCIA: 10 artículos más leídos en el 2021. Estos 10 Artículos de Ortodoncia fueron los más descargados y compartidos por los profesionales de la salud bucal el año 2021
El objetivo de este artículo es establecer clase I canina, corregir la línea media dental y el traslape horizontal, así como mejorar el perfil de los tejidos blandos.
CASO CLÍNICO
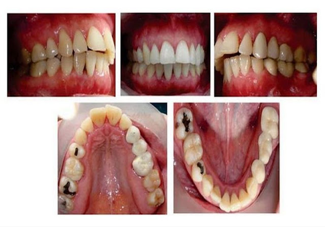
Paciente del sexo femenino de 32.6 años de edad. Presenta tratamiento ortodóncico previo con extracciones de primeros premolares superiores e inferiores, ausencia del segundo premolar superior izquierdo, periodontitis crónica leve generalizada y antecedentes de fractura en la sínfisis mentoniana con reconstrucción (mentoplastia).
La extracción del segundo premolar maxilar fue la alternativa viable para evitar otra cirugía, con un cambio significativo en el perfil, mejorando las expectativas y, especialmente, la autoestima de la paciente.
Dentro de las opciones de tratamiento para la clase II-1, la más frecuente es la extracción de los cuatro
primeros premolares, debido a que están localizados en los segmentos anteriores de los arcos dentales, lo cual permite el acceso directo para la corrección de apiñamientos y protrusiones dentoalveolares severas.
